
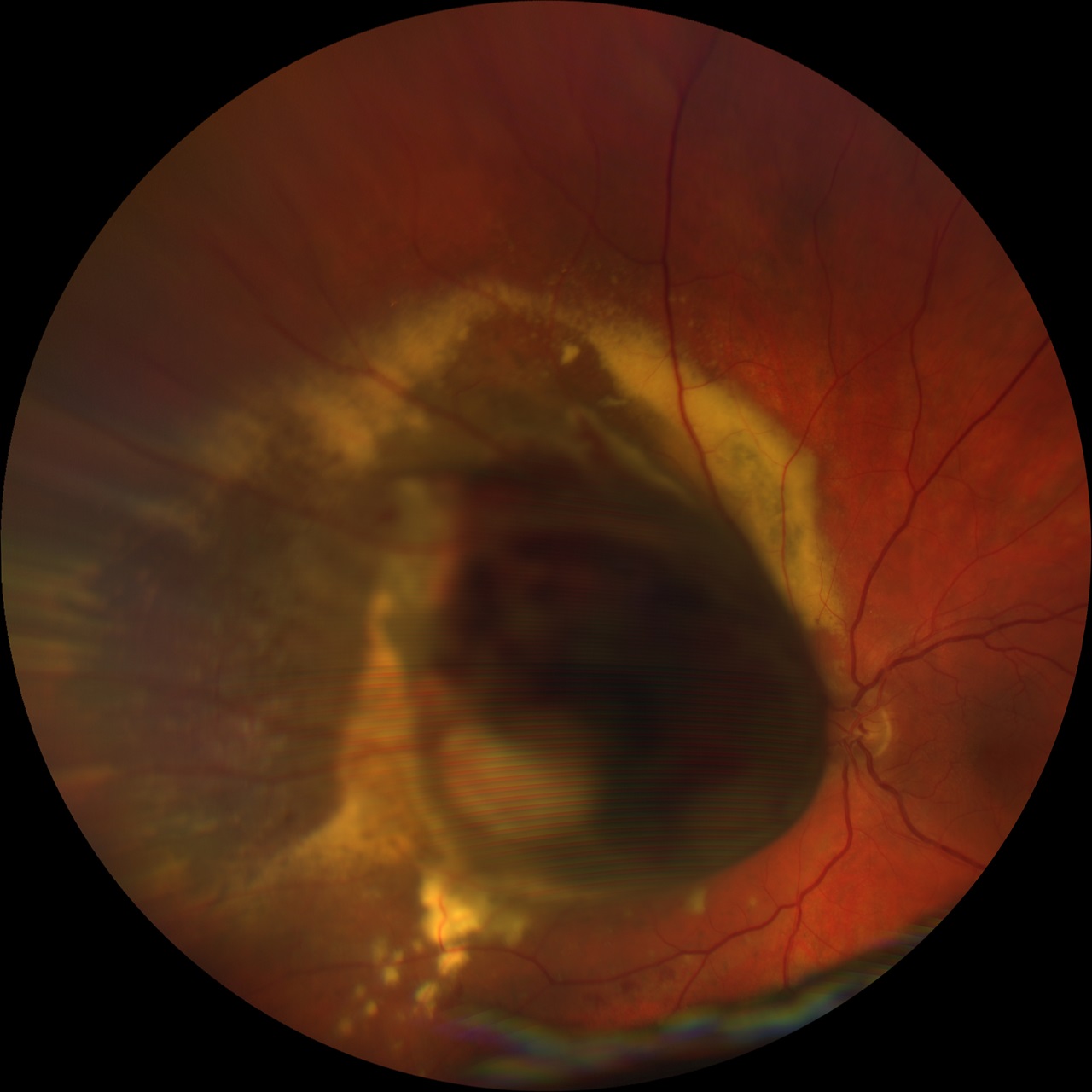
Luciane de Paula foi diagnosticada com melanoma de coroide, também conhecido como melanoma uveal.
Flashes de luz – este foi o primeiro sinal que levou a pedagoga Luciane Francisca de Paula e Silva, de 50 anos, a investigar a saúde da sua visão ocular. Ela conta que iniciou exames de rotina no oftalmologista em 2016, mas por conta da pandemia, acabou postergando a prevenção, e foi aí que os sintomas começaram a aparecer. Em setembro de 2023 ela procurou um oftalmologista, que durante uma avaliação clínica a diagnosticou com um melanoma de coroide, também conhecido como melanoma uveal.
“Marquei uma consulta com o oftalmologista, em Lagoa Formosa (MG), e expliquei o porquê estava ali. Ele examinou os dois olhos e voltou para o olho direito. Ele respirou fundo e me disse que eu estava com um melanoma de coroide no olho direito, e que precisaríamos ter certeza se era primário ou secundário”, comentou Luciane. Ela foi encaminhada para o Hospital de Amor, em novembro de 2023, quando iniciou o seu tratamento.
Luciane conta que foram dois meses de angústia até conseguir ser encaminhada para o HA. “A espera até a marcação da primeira consulta me deixou apreensiva, mas depois do primeiro contato com os médicos (anjos) do HA, foi reconfortante. Dr. Leonardo Lando, Dr. Tomás de Oliveira Castro Teixeira Pinto e Dr. Roque Lima de Souza, trio fantástico! Dr. Leonardo me informou sobre como seria o tratamento oferecido em Barretos (SP), me explicou que o tipo de tratamento que era oferecido era a enucleação (remoção cirúrgica de um olho), os prós e contras, e me ofereceu também um encaminhamento para tentar esse tratamento em outro hospital. Mas decidi ali mesmo, naquela hora, que faria a enucleação”, contou.
Segundo dados do relatório mundial sobre visão publicado pela Organização Mundial da Saúde (OMS), em 2019, mais de 2 bilhões de pessoas no mundo apresentavam uma deficiência visual, e pelo menos 1 bilhão desses casos poderiam ser evitados. No Brasil, o último Censo Demográfico (IBGE 2010) identificou mais de 35 milhões de pessoas com algum grau de dificuldade visual.
Catarata, o glaucoma e as doenças da retina, como a retinopatia diabética e a degeneração muscular relacionada à idade podem levar a cegueira, além do câncer ocular. Porém, alguns casos poderiam ser prevenidos, como afirmou o médico oftalmologista do Hospital de Amor, Dr. Tomás de Oliveira Castro Teixeira Pinto.
Câncer ocular
O câncer ocular, apesar de ser considerado uma doença rara, infelizmente existe, podendo deixar sequelas irreversíveis, em alguns casos. Existem dois grandes grupos de tumores oculares, aqueles que surgem das estruturas internas do olho e aqueles que surgem das estruturas externas ou superfície ocular, como explicou o médico oftalmologista do HA.
“Em adultos, o tipo mais comum de câncer intraocular é o melanoma uveal. Ele surge a partir de células produtoras de pigmentos de uma parte interna do olho, chamada úvea. Essa doença pode ser também chamada de melanoma de coroide, de íris ou de corpo ciliar, a depender de qual porção da úvea está afetada. Já o câncer mais comum da superfície ocular é o carcinoma de conjuntiva, e em crianças, o de maior incidência é o retinoblastoma”, comentou Dr. Tomás de Oliveira Castro Teixeira Pinto.
O câncer ocular dificilmente apresenta sintomas em seu estágio inicial. Pessoas diagnosticadas com câncer, na maioria das vezes, descobrem a doença quando o estágio já está mais avançado e acaba apresentando perda de visão como principal sintoma, como explicou o Dr. Tomás de Oliveira Castro Teixeira Pinto. “Os sintomas mais comuns do melanoma uveal são a piora da visão, a perda de campo visual, frequentemente progressiva, e a percepção de flashes ou moscas volantes. Pode ocorrer a perda parcial ou completa da visão. Sintomas menos comuns são dor e vermelhidão persistentes, bem como a presença de vasos dilatados na superfície do olho. Quando o melanoma afeta a íris, é possível que os pacientes percebam o crescimento de uma pinta ou mancha escura na parte colorida do olho, ou mudança na forma da pupila. O carcinoma de conjuntiva surge como uma lesão ou ferida na superfície do olho, com crescimento progressivo. Ele pode dar sintomas como dor e irritação ocular”.

O carcinoma de conjuntiva surge como uma lesão ou ferida na superfície do olho, com crescimento progressivo.
Fatores de risco
Não existe um fator único para uma pessoa ser acometida pelo câncer ocular, mas existem alguns fatores que podem contribuir e potencializar o surgimento da doença:
– Tumores de conjuntiva: os principais fatores são a exposição solar crônica, tabagismo e deficiências imunológicas/infecção pelo HIV.
Os principais tratamentos para o melanoma uveal são a radioterapia e a cirurgia. A modalidade de radioterapia mais utilizada é a braquiterapia, onde uma fonte radioativa é posicionada cirurgicamente próxima ao tumor, por fora do olho, e depois removida. Infelizmente, o HA ainda não possui essa modalidade de tratamento, mas vem buscando recursos para incluir este protocolo também aos pacientes.
O tratamento cirúrgico mais comum é a enucleação, que é mais utilizada nos casos de tumores grandes. Na enucleação, o olho afetado é removido, a cavidade é reconstruída e uma prótese ocular é adaptada.
Mas você deve estar se perguntando sobre a quimioterapia e imunoterapia, certo? Dr. Tomás destacou que para casos do tumor limitando o globo ocular, esses dois tratamentos não são eficazes. “A quimioterapia, terapia-alvo e imunoterapia não são bons tratamentos, quando o câncer está limitado ao globo ocular. Elas podem ser utilizadas quando a doença se espalhou para outros locais do corpo. Nesses casos, o fígado é o local mais comumente afetado”, contou o médico oftalmologista.
Vivemos em uma era tecnológica onde estamos vendo constante evolução em termos de tratamento para diferentes tipos de cânceres, e para o câncer ocular não seria diferente. Um dos principais problemas é o diagnóstico precoce da doença, e para quebrar essa barreira, novas técnicas de detecção estão sendo desenvolvidas, como explicou Dr. Tomás.
“Uma das principais barreiras no diagnóstico e tratamento dos tumores oculares é o acesso aos especialistas. Por isso, novas técnicas de diagnóstico precoce têm sido buscadas, especialmente aquelas que não envolvam o exame ocular direto. Algumas delas envolvem a análise do sangue no paciente em busca de marcadores que podem estar elevados nos casos da doença”. O médico contou ainda que quando o melanoma uveal se espalha para outros órgãos, “ainda não possui formas muito efetivas de tratamento, e o desenvolvimento de novas drogas e terapias é um dos principais alvos para a melhora da sobrevida dos pacientes. Recentemente novas drogas têm sido lançadas e novos estudos estão sendo conduzidos, aumentando a esperança do desenvolvimento de terapias mais eficazes”.
